T Condylar Humerus Fracture
Articular Fractures Of The Distal Humerus Sciencedirect
Challenges And Solutions In Management Of Distal Humerus Fractures Fulltext
Condylar Fractures Of The Humerus Cleveland Clinic Journal Of Medicine
Challenges And Solutions In Management Of Distal Humerus Fractures Fulltext
Minimally Invasive Percutaneous Medial Plate Rod Osteosynthesis For Treatment Of Bicondylar Humeral Fractures In Dogs Surgical Technique And Case Report Guiot 19 Veterinary Surgery Wiley Online Library
Distal Humerus Fractures Trauma Orthobullets
Lateral condylar fractures often only affect the cartilaginous part of the humerus As cartilage is not radiopaque, the true extent of the fracture is often not fully understood when looking at the xray The presence of anterior and posterior fat pads may often be the only indication that a fracture is present.
T condylar humerus fracture. Aug 8, 17 #3 Unfortunately ICD10 is very poorly done as it applies to Fractures of the Distal Humerus, particularly for Supracondylar fractures with Intercondylar (ie Intraarticular) extension, often called TCondylar Fractures In fact it doesn't even recognize/acknowledge "with" Intercondylar (Inraarticular) extension at all. Humeral condylar fractures are gener ally closed, but if the fracture is open, wound lavage and intravenous broad spectrum antibiotics are indicated Humeral condylar fractures are articular fractures. By definition, Tcondylar fractures are intraarticular, distal humerus fractures characterized by a central intercondylar split and extension of the fracture line proximally through both the.
Tcondylar humerus fractures are usually due to highvelocity sports injuries in the adolescent and require adulttype treatment for best results Clinical Evaluation Physical Exam. S42Fracture of shoulder and upper arm Fracture of lower end of humerus S424 Fracture of lower end of humerus S424. Fractures of the medial epicondyle of the distal humerus account for approximately 12% of all pediatric elbow fractures and occur most frequently between the ages of 9 and 14 (Beaty, 05) These fractures are four times more common in boys.
Incomplete ossification of the humeral condyle (IOHC) is most frequently see in Spaniels This condition is often bilateral and predominantly affects spaniels It is the reason why Spaniels, especially Springer Spaniels in our experience, are massively over represented in the cases of humeral lateral, medial and Y/T condylar fractures that we see. The clinical presentation of a supracondylar humerus fracture (SCHF) is that of a painful swollen elbow that the patient is hesitant to move The elbow may appear angulated and the upper extremity. Distal humerus fractures are traumatic injuries that include supracondylar fractures;.
A humerus shaft fracture may be treated with or without surgery, depending on the fracture pattern and associated injuries (ie, nerve injury or open fracture) A temporary splint extending from the shoulder to the forearm and holding the elbow bent at 90 degrees can be used for initial management of the fracture. Single column (condyle) fractures;. Coronal shear fractures ;.
ORIF Fractures – Distal Humerus, TCondylar, Radial Head, Olecranon The Open Reduction Internal Fixation (ORIF) of the distal humerus is an operation that fixes fractures in the humerus that are generally difficult to secure with a cast or splint (external fixation) The broken bones are fixed in place by various wires, nails or pins so as to ensure the best possible healing between them. By definition, Tcondylar fractures are intraarticular, distal humerus fractures characterized by a central intercondylar split and extension of the fracture line proximally through both the. Epidemiology incidence accounts for 057% of all fractures;.
S40S49 Injuries to the shoulder and upper arm ;. INTRODUCTION Tcondylar fractures of the humerus are very rare in children The treatment options vary from simple reduction and percutaneous stabilisation to open reduction and fixation with plates, screws and Kirchner wires We evaluated 19 patients who underwent different types of treatment aiming to compare two different approaches of. Tcondylar (intercondylar) fracture of the humerus is a very rare occurrence in the paediatric age group Incidence of this type of fracture is unknown since the majority of literature is limited to case reports or case series, without outlining the number of cases appearing over the time period in which the cases were observed , A paediatric intercondylar fracture can sometimes be confused with an extension type supracondylar fracture of the humerus.
Lateral condyle fractures account for 17% of all distal humerus fractures and 54% of distal humeral physeal fractures The frequency of lateral condyle fractures peaks in children aged 6 years Most fractures occur in children aged 510 years Cases have been reported in patients as young as 2 years and as old as 14 years. Sometimes, patients can develop fractures in this joint One such fracture is a T or Y fracture of the humerus, also called an intercondylar fracture What is a T or Y Fracture of the Humerus?. Humeral condyle fractures In Type I fractures, the lateral trochlear ridge remains with the intact condyle, providing medial to lateral elbow stability In Type II fractures, the lateral trochlear ridge is a part of the fractured condyle, which may allow the radius and ulna to translocate in a medial to lateral direction with respect to the long.
Humerus fracture, medial condyle, open () Percutaneous skeletal fixation of supracondylar or transcondylar humeral fracture, with or without intercondylar extension () Percutaneous treatment of humeral epicondylar fracture, medial or lateral, with manipulation (). • The Tcondylar fracture is an articular fracture, so the first goal is to restore and stabilize the joint surface • Stability depends on the integrity of the lateral and medial supracondylar columns • Elbow articular mobility depends on articular congruity, correct alignment of the axis of motion, and debris and bonefree fossae. Distal humerus fractures are traumatic injuries that include supracondylar fractures;.
In , the humeral condylar fracture has an extending fracture line between the condyles that may create a third fracture piece The physician makes a posterior incision from midline of the arm to just distal to the olecranon, exposing the olecranon, triceps tendon, and distal humerus. S42Fracture of shoulder and upper arm Fracture of lower end of humerus S424 Fracture of lower end of humerus S424. Transphyseal fractures of the distal humerus are most commonly seen in children younger than six years of age In two small case series, they were associated with child abuse in 10 of 22 patients, primarily children under two years of age 7,8.
Introduction Intercondylar (TCondylar) fractures of the humerus are very rare in children The usual mechanism of the injury which is involved is a fall on a flexed elbow. Tcondylar fractures of the humerus are rare injuries in children and adolescents A review of 300 consecutive cases of fractures of the elbow in children showed that this injury pattern occurs in only 2 % of cases 1. Tcondylar fractures may result from flexion or extension injury, with the articular surface of the olecranon acting as a wedge to split the humeral condyles Flexion injury is often from a fall on.
Single column (condyle) fractures;. Accounts for 30% of elbow fractures. T or Y Fracture of the Humerus The elbow is an important structure in the body where the humerus, radius, and ulna meet The intersection of these bones forms the elbow, an integral hinge joint that provides important function Sometimes, patients can develop fractures in this joint One such fracture is a T or Y fracture of the humerus, also called an intercondylar fracture.
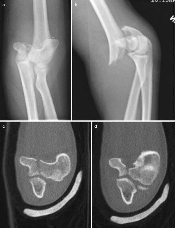
S40S49 Injuries to the shoulder and upper arm ;. Comminuted T condylar fracture of the left distal humerus is noted with intraarticular extension Posterior displacement of the distal fragment is seen in the sagittal plane;. By definition, Tcondylar fractures are intraarticular, distal humerus fractures characterized by a central intercondylar split and extension of the fracture line proximally through both the medial and lateral columns Tcondylar fractures in children are rare elbow fractures and are, perhaps, the most challenging to manage.
Tcondylar fracture is a type of distal humerus fracture Tcondylar fracture in children is rare, with reported incidence of less than 1% of Tcondylar fractures The mean reported age of. Although fractures of the elbow are extremely common in pediatric patients, the Ttype distal humerus fracture is rare and offers unique challenges The mechanism of injury may be similar to the adult counterpart and is usually caused by a fall onto a flexed elbow or from a direct blow Diagnosing these injuries may be difficult. Tcondylar fractures of the distal humerus are very rare in children High degree of suspicion and then further imaging are needed for these types of injuries to be detected Tcondylar fractures can have a high chance of complications Parents should be warned about the likelihood of an unsatisfactory outcome.
A supracondylar fracture is an injury to the humerus, or upper arm bone, at its narrowest point, just above the elbow Supracondylar fractures are the most common type of upper arm injury in children. Aug 8, 17 #3 Unfortunately ICD10 is very poorly done as it applies to Fractures of the Distal Humerus, particularly for Supracondylar fractures with Intercondylar (ie Intraarticular) extension, often called TCondylar Fractures In fact it doesn't even recognize/acknowledge "with" Intercondylar (Inraarticular) extension at all. A humerus fracture is a break in the large bone of your upper arm There are several types of humerus fractures, depending on the location of the break We’ll go over the locations of each type.
Tcondylar fractures may result from flexion or extension injury, with the articular surface of the olecranon acting as a wedge to split the humeral condyles Flexion injury is often from a fall on. In the uncomplicated distal humerus supracondylar and lateral condylar fractures, it takes 5 weeks to restore original elbow ROM after removal of long arm cast without physical therapy This information could be applied in the education material to caregivers of children with elbow injuries. Incomplete ossification of the humeral condyle (IOHC) is most frequently see in Spaniels This condition is often bilateral and predominantly affects spaniels It is the reason why Spaniels, especially Springer Spaniels in our experience, are massively over represented in the cases of humeral lateral, medial and Y/T condylar fractures that we see.
Open or Percutaneous Rx Condylar Humerus Fracture Codes Percutaneous skeletal fixation of supracondylar or transcondylar humeral fracture, with or without intercondylar extension () Percutaneous treatment of humeral epicondylar fracture, medial or lateral, with manipulation (). Medial epicondyle fractures of the humerus account for 12% of pediatric elbow fractures Isolated fractures can occur secondary to direct trauma or avulsion forces 50% are associated with elbow dislocation Recent studies have highlighted the underestimation of fracture displacement seen on typical radiographic views. The age of occurrence depends on the anatomical location The average age for lateral condylar injuries is around 6 years 1,2 The less common medial condylar injuries occur in the age range 8–12 years 2,3 Tcondylar fractures are more common in adolescents but occur in children in the age range 5–12 years (average years) 4 Fractures involving the entire distal humeral physis may be misdiagnosed as lateral condylar fractures.
Accounts for 30% of elbow fractures. Intercondylar fractures of the humerus (T or Y fractures) Riseborough and Radin classification OrthopaedicsOne Articles In OrthopaedicsOne The Orthopaedic Knowledge Network Created Apr 09, 12 0427 Last modified Apr 09, 12 0809 ver 236 Retrieved. Tcondylar humeral fractures are rare in skeletally immature children15 Medial condylar, lateral epicondylar and Tcondylar fractures combined, constitute less than 1% of all fractures in the elbow6 They are also rare in adults, comprising 05% of all fractures7 They may occur in association with other injuries, although rarely.
Epidemiology incidence accounts for 057% of all fractures;. ICD10CM Codes › S00T Injury, poisoning and certain other consequences of external causes ;. A condylar fracture is a repetitive strain injury that results in a fracture to the cannon bone above the fetlock due to large loads transmitted during highspeed exercise Scan showing the screws inserted during surgery (right) This patient, a Thoroughbred racehorse, walked away from surgery comfortably and is recovering well.
Aug 8, 17 #3 Unfortunately ICD10 is very poorly done as it applies to Fractures of the Distal Humerus, particularly for Supracondylar fractures with Intercondylar (ie Intraarticular) extension, often called TCondylar Fractures In fact it doesn't even recognize/acknowledge "with" Intercondylar (Inraarticular) extension at all. Humerus Shaft Fracture Pediatric Pediatrics Humeral shaft fracture pediatric pediatrics orthobullets proximal humerus physiopedia Humeral Shaft Fracture Pediatric Pediatrics Orthobullets Humeral Shaft Fracture Pediatric Pediatrics Orthobullets Source wwworthobulletscom. ICD10CM Codes › S00T Injury, poisoning and certain other consequences of external causes ;.
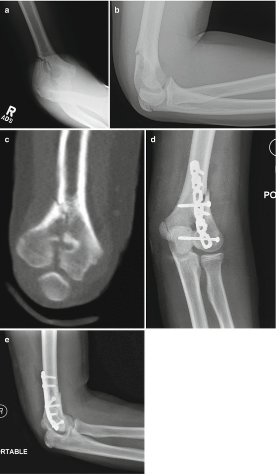
Pediatric Tcondylar humerus fractures requiring an open approach may benefit from less invasive approaches such as the triceps split approach where the fracture pattern allows Younger children are more amenable to less invasive means of fracture reduction and fixation If an articular reduction is required, the aggregated literature suggests that the Morrey slide offers equivalent results to the olecranon osteotomy but with fewer approachrelated complications. Blakey CM, Biant LC, Birch R Ischaemia and the of elbow fracture in children analysis of 355 pink, pulseless hand complicating supracondylar fractures, with special reference to supracondylar fractures of the humerus in childhood longterm humerus fractures. With mild lateral/valgus displacement and rotation is noted in the coronal plane No radial or ulnar fracture is notedSoft tissue swelling is noted around the elbow.
Coronal shear fractures ;. ORIF Fractures – Distal Humerus, TCondylar, Radial Head, Olecranon The Open Reduction Internal Fixation (ORIF) of the distal humerus is an operation that fixes fractures in the humerus that are generally difficult to secure with a cast or splint (external fixation).
Medial Condyle Fracture Of The Distal Humerus In An Adolescent With Pre Existing Fishtail Deformity A Case Report Semantic Scholar
T Condylar Fractures Of The Distal Humerus In Children Report On Three Cases Bmj Case Reports
Articular Fractures Of The Distal Humerus Sciencedirect
Jcdr T Condylar Fracture Distal Humerus Adolescent Closed Reduction Percutaneus Fixation
T Condylar Distal Humerus Fractures Musculoskeletal Key
Distal Humerus Fractures A Review Of Current Therapy Concepts Abstract Europe Pmc
Lateral Epicondyle Fracture Jetem
Displaced T Condylar And Supracondylar Fracture Of The Distal Humerus Image Radiopaedia Org
T Condylar Distal Humerus Fractures Springerlink
Fixation Of T Condylar Fracture Of Distal Of Humerus Fracture Healing Humerus Fracture Fracture
Medial Humeral Condyle Fracture Practice Essentials Anatomy Pathophysiology
Distal Humerus Fracture Bone And Spine
T Condylar Humerus Fracture In Children Treatment Options And Outcomes Springerlink
Animal Surgical Center Of Michigan Veterinarian In Flint Mi
Distal Humerus Fracture And Elbow Dislocation
Comparison Of Clinic Radiological Outcome Of Cross Pinning Versus Lateral Pinning For Displaced Supracondylar Fracture Of Humerus In Children A Randomized Controlled Trial Journal Of Clinical Orthopaedics Trauma
Distal Humerus Fractures Of The Elbow Orthoinfo os
T Condylar Distal Humerus Fractures Musculoskeletal Key
Figure 3 From Treatment Of A Pediatric T Type Intercondylar Humerus Fracture With Hybrid Percutaneous Pinning And External Fixation Semantic Scholar
Results Of Plate Fixation For Transcondylar Fracture Of The Distal Humerus A Rare Pattern Of Fractures Jses International
Animal Surgical Center Of Michigan Veterinarian In Flint Mi
Treatment Of Distal Humerus Fractures Cancer Therapy Advisor
Supracondylar Fracture Teachmesurgery
Journal Of Medical And Psychological Trauma Open Access Pub
T Condylar Distal Humerus Fractures Springerlink
Medial Condyle Fracture Kilfoyle Type Iii Of The Distal Humerus With Transient Fishtail Deformity After Surgery
T Condylar Distal Humerus Fractures Musculoskeletal Key
Displaced T Condylar And Supracondylar Fracture Of The Distal Humerus Radiology Case Radiopaedia Org
Amicus Illustration Of Amicus Injury Fracture Arm Elbow Dislocation Humerus Radius Ulna Grade 1 T Condylar Fracture Dislocated Coranoid Process
Bone And Cartilage Injury Radiology Key
Displaced T Condylar And Supracondylar Fracture Of The Distal Humerus Radiology Case Radiopaedia Org
23 Distal Humerus Fractures Musculoskeletal Key
Displaced T Condylar And Supracondylar Fracture Of The Distal Humerus Radiology Case Radiopaedia Org
Newcastle Approach For The Treatment Of Supra Intercondylar Fractures In Children Sciencedirect
Lateral Condylar Fractures Of The Humerus
Pediatric Supracondylar Fractures Core Em
Pdf Is Open Reduction Necessary For Pediatric T Condylar Fractures Of The Humerus
Treatment Of Distal Humerus Fractures Cancer Therapy Advisor
Clinical Practice Guidelines Lateral Condyle Fracture Of The Humerus Emergency Department
Percutaneous Screw Fixation Of Lateral Condylar Humeral Fractures Youtube
Pediagenosis
T Condylar Distal Humerus Fractures Musculoskeletal Key
Journal Of Medical And Psychological Trauma Open Access Pub
T Condylar Distal Humerus Fractures Musculoskeletal Key
P05 Pediatric Elbow
T Condylar Distal Humerus Fractures Springerlink
Lateral Condyle Humeral Fracture Youtube
T Condylar Distal Humerus Fractures Musculoskeletal Key
Distal Humerus Fractures Trauma Orthobullets
Elbow Fractures In Children Orthoinfo os
Distal Humerus Fracture Bone And Spine
How To Avoid Missing A Pediatric Elbow Fracture Acep Now
Displaced T Condylar And Supracondylar Fracture Of The Distal Humerus Image Radiopaedia Org
Distal Humeral Fractures Current Concepts
Distal Humerus Fractures Trauma Orthobullets
Closed Reduction Of Humeral Condylar Fracture And Elbow Luxation In A Dog
Distal Humerus Fractures Trauma Orthobullets
Ipsilateral Medial And Lateral Condylar Fracture Of The Humerus In A 4 Year Old Boy
T Condylar Distal Humerus Fractures Springerlink
Open Reduction And Internal Fixation Of Pediatric T
Upper Extremity Posnacademy
Pre Operative Computed Tomography Ct Image Of The Left Elbow A Download Scientific Diagram
Adult Humeral Inter Condylar Fractures Wheeless Textbook Of Orthopaedics
Kids Broken Elbow Lateral Condyle Fracture Bone Talks
Journal Of Medical And Psychological Trauma Open Access Pub
Fractures And Dislocations About The Elbow In The Pediatric Patient Ppt Download
Distal Humeral Fractures
Surgical Management Of Lateral Humeral Condylar Fractures
Ipsilateral Medial And Lateral Condylar Fracture Of The Humerus In A 4 Year Old Boy
Update On Humeral Condylar Fracture Treatment In Dogs Vet Times
Lateral Condylar Fractures Of The Humerus
Amazon Com T Condylar Fracture Of Distal Humerus In A 3 Year Old Male Child An Unusual Case Presentation Of Mild To Moderate Degree Of Trauma Ijmpr Book 2 Ebook Kumar Surendar Agarwal
Distal Humeral Fractures
Distal Humerus Fractures
Orif Surgery Elbow Surgery Princeton New Jersey Monroe Township
T Condylar Distal Humerus Fractures Musculoskeletal Key
Pdf Pediatric And Adolescent T Type Distal Humerus Fractures
T Condylar Fractures Of The Distal Humerus In Children Report On Three Cases Bmj Case Reports
Physical Therapy In Conway For Elbow Pain Fractures
T Condylar Fractures Of The Distal Humerus In Children Does Early Motion Affect Final Range Of Motion Semantic Scholar
Challenges And Solutions In Management Of Distal Humerus Fractures Fulltext
Pediatric Humeral Fracture Physiopedia
Humerus Fracture Wikipedia
Distal Humerus Fracture S42 409a 812 40 Eorif
Humeral Condylar Fractures In Dogs And Cats
Distal Humerus Fracture S42 409a 812 40 Eorif
Journal Of Medical And Psychological Trauma Open Access Pub
Adult Humeral Inter Condylar Fractures Wheeless Textbook Of Orthopaedics
Distal Humeral Fractures Current Concepts


